
Executive Wellness Exams

PCVI Executive Wellness Exams
Your eyes are precious. We strive to provide first-class care in a comfortable and patient-focused setting. Our goal is for patients and their families to feel supported and heard while being active partners in their care.
Since 1989, Pacific ClearVision Institute (PCVI) has been a leading eye surgery provider in the Pacific Northwest. Our foremost experts in ophthalmology specialize in Laser Cataract Surgery with advanced Lens Implants, LASIK & SMILE laser vision correction, light therapy and Lipiflow for Dry Eye, and specialty care for diabetes and glaucoma. PCVI is fully dedicated to providing superior eye care to people of all ages.

Request Appointment
In addition to a routine eye exam by your eye doctor, the Executive Wellness Exam includes a suite of diagnostics to assess your eye’s health and screen for different conditions that may not be visible to the naked eye of your doctor but could affect your long-term vision and general health. The following is a description of each test and its capabilities and implications:
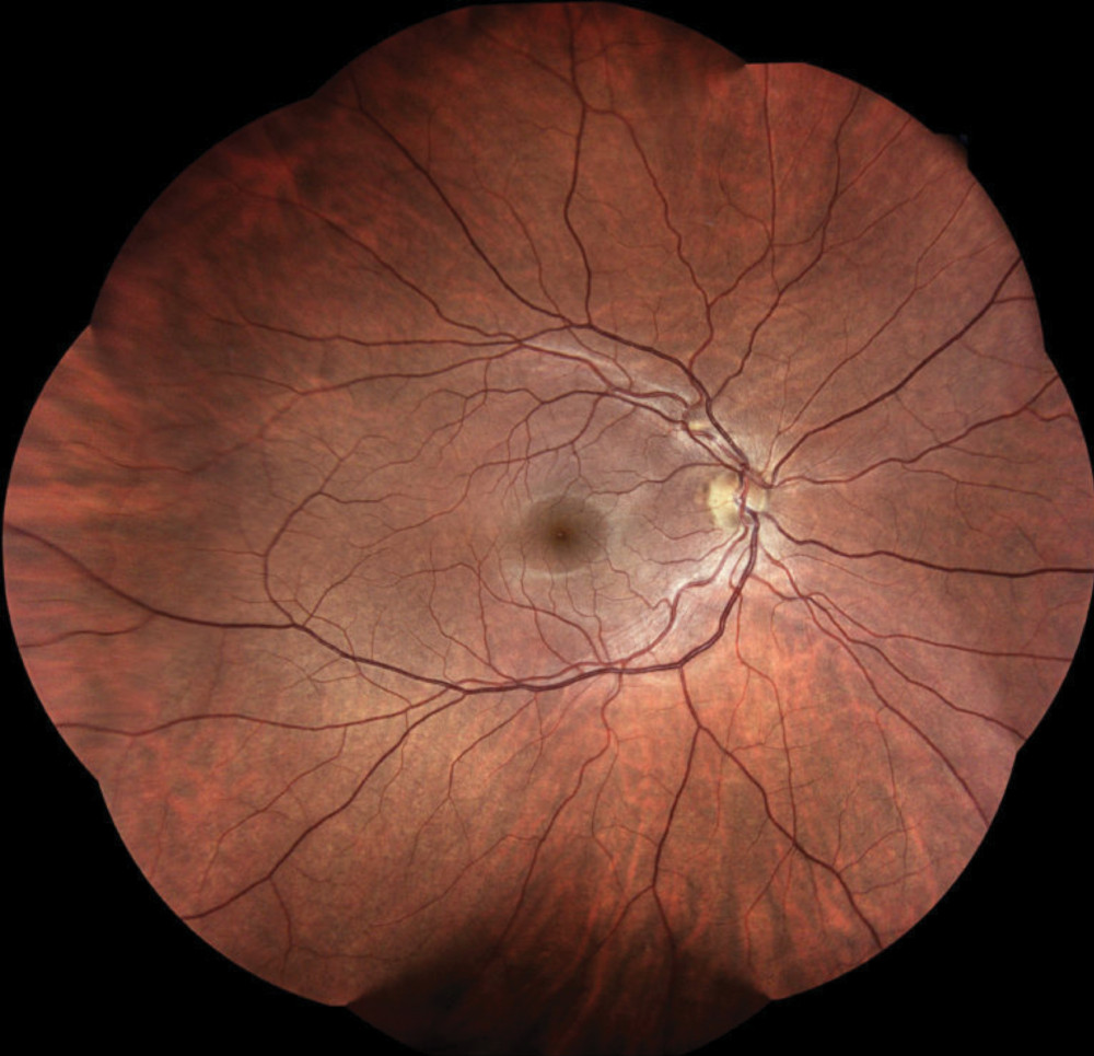
Panoramic Retinal Imaging

Photography of the retina (even through an undilated pupil) allows early detection, analysis, and monitoring of conditions such as diabetes, hypertension, neurologic or autoimmune conditions (e.g., lupus or multiple sclerosis) which can affect nerve and vascular tissue.
Corneal Galilei Topography and Tomography

Using two cameras to assess the corneal surface shape and cross-section, this test informs your doctor about the curvature of th front and back of the cornea, and the corneal thickness. These are important for the early diagnosis of conditions such as keratoconus and map-dot-fingerprint dystrophy, as well as assessment of astigmatism and whether you could be a good candidate for LASIK.
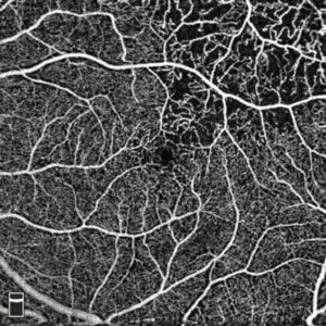
Optical Coherence Tomography and Angiography

OCT and OCT-A provide high-resolution structural scans of the retina, retinal vessels, nerve layer thickness, and the optic nerve itself. These pictures and analytic data help your doctor determine if you have early signs of macular degeneration or glaucoma, and also if you have any blood vessel deficits in the eye from diabetes, mini- strokes. Analysis of the retinal neural and vascular tissue is also helpful in the early detection of Alzheimer’s disease and Parkinson’s disease.



Meibography
The tears are the first thing light strikes when it enters your eye. Assessing tear quality and tear gland density is very helpful for your doctor to help take care of your vision and eye comfort. The meibomian glands in the eyelids make critical components of the tears and can be damaged by screen time, age, diet, and air pollution, leading to dry eye or eyelid inflammation. Early detection can allow intervention to save your meibomian glands, help reduce dry eye, and protect the surface of the eye for years to come.

